Babesia motasi | |
---|---|
![]() | |
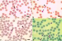
Intracellular stages of a Babesia motasi infection | |
Scientific classification ![]() | |
Domain: | Eukaryota |
Clade: | Diaphoretickes |
Clade: | SAR |
Clade: | Alveolata |
Phylum: | Apicomplexa |
Class: | Aconoidasida |
Order: | Piroplasmida |
Family: | Babesiidae |
Genus: | Babesia |
Species: | B. motasi |
Binomial name | |
Babesia motasi Wenyon, 1926 | |
Babesia motasi is a species belonging to Alveolata and the family Babesiidae. In sheep causes babesiosis disease, called "sheep babesiosis". Babesia motasi is quite big protozoa. Length 2,5-5 µm, usually pear-shaped. Is rare in erythrocytes.
Bibliography
This article is issued from Wikipedia. The text is licensed under Creative Commons - Attribution - Sharealike. Additional terms may apply for the media files.