Bullous pemphigoid | |
---|---|
![]() | |
A patient present with legs covered in popped blisters caused by bullous pemphigoid. The blisters cover his entire body. | |
Specialty | Dermatology ![]() |
Bullous pemphigoid (a type of pemphigoid) is an autoimmune pruritic skin disease that typically occurs in people aged over 60, that may involve the formation of blisters (bullae) in the space between the epidermal and dermal skin layers. It is classified as a type II hypersensitivity reaction, which involves formation of anti-hemidesmosome antibodies, causing a loss of keratinocytes to basement membrane adhesion.
Signs and symptoms
Clinically, the earliest lesions may appear as a hives-like red raised rash, but could also appear dermatitic, targetoid, lichenoid, nodular, or even without a rash (essential pruritus).[1] Tense bullae eventually erupt, most commonly at the inner thighs and upper arms, but the trunk and extremities are frequently both involved. Any part of the skin surface can be involved. Oral lesions are present in a minority of cases.[2] The disease may be acute, but can last from months to years with periods of exacerbation and remission.[3]
Several other skin diseases may have similar symptoms. However, milia are more common with epidermolysis bullosa acquisita, because of the deeper antigenic targets. A more ring-like configuration with a central depression or centrally collapsed bullae may indicate linear IgA disease. Nikolsky's sign is negative, unlike pemphigus vulgaris, where it is positive.[4]
Causes
In most cases of bullous pemphigoid, no clear precipitating factors are identified.[2] Potential precipitating events that have been reported include exposure to ultraviolet light and radiation therapy.[2][5] Onset of pemphigoid has also been associated with certain drugs, including furosemide, nonsteroidal anti-inflammatory agents, DPP-4 inhibitors, captopril, penicillamine, and antibiotics.[5]
Pathophysiology
The bullae are formed by an immune reaction, initiated by the formation of IgG[6] autoantibodies targeting dystonin, also called bullous pemphigoid antigen 1,[7] and/or type XVII collagen, also called bullous pemphigoid antigen 2,[8] which is a component of hemidesmosomes. A different form of dystonin is associated with neuropathy.[7] Following antibody targeting, a cascade of immunomodulators results in a variable surge of immune cells, including neutrophils, lymphocytes and eosinophils coming to the affected area. Unclear events subsequently result in a separation along the dermoepidermal junction and eventually stretch bullae.
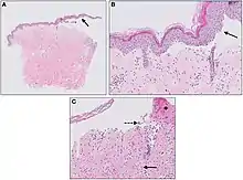
Diagnosis

Diagnosis consist of at least 2 positive results out of 3 criteria (2-out-of-3 rule): (1) pruritus and/or predominant cutaneous blisters, (2) linear IgG and/or C3c deposits (in an n- serrated pattern) by direct immunofluorescence microscopy (DIF) on a skin biopsy specimen, and (3) positive epidermal side staining by indirect immunofluorescence microscopy on human salt-split skin (IIF SSS) on a serum sample.[10] Routine H&E staining or ELISA tests do not add value to initial diagnosis.
Treatment
Treatments include topical steroids such as clobetasol, and halobetasol which in some studies have proven to be equally effective as systemic, or pill, therapy and somewhat safer.[2] However, in difficult-to-manage or widespread cases, systemic prednisone and powerful steroid-free immunosuppressant medications, such as methotrexate, azathioprine or mycophenolate mofetil, may be appropriate.[2][11] Some of these medications have the potential for severe adverse effects such as kidney and liver damage, increased susceptibility to infections, and bone marrow suppression.[12] Antibiotics such as tetracycline or erythromycin may also control the disease, particularly in patients who cannot use corticosteroids.[11]
The anti-CD20 monoclonal antibody rituximab has been found to be effective in treating some otherwise refractory cases of pemphigoid.[13] A 2010 (updated in 2023) meta-analysis of 14 randomized controlled trials showed that oral steroids and potent topical steroids are effective treatments, although their use may be limited by side-effects, while lower doses of topical steroids are safe and effective for treatment of moderate bullous pemphigoid.[12]
IgA-mediated pemphigoid can often be difficult to treat even with usually effective medications such as rituximab.[14]
Prognosis
Bulbous pemphigoid may be self-resolving in a period ranging from several months to many years even without treatment.[2] Poor general health related to old age is associated with a poorer prognosis.[2]
Epidemiology
Very rarely seen in children, bullous and non-bullous pemphigoid most commonly occurs in people 70 years of age and older.[2] Its estimated frequency is seven to 14 cases per million per year, but has been reported to be as high as 472 cases per million per year in Scottish men older than 85.[2] At least one study indicates the incidence might be increasing in the United Kingdom.[15] Some sources report it affects men twice as frequently as women,[11] while others report no difference between the sexes.[2]
Many mammals can be affected, including dogs, cats, pigs, and horses, as well as humans. It is very rare in dogs; on average, three cases are diagnosed around the world each year.
Research
Animal models of bullous pemphigoid have been developed using transgenic techniques to produce mice lacking the genes for the two known autoantigens, dystonin and collagen XVII.[7][8]
See also
References
- ↑ Cozzani E, Gasparini G, Burlando M, Drago F, Parodi A (May 2015). "Atypical presentations of bullous pemphigoid: Clinical and immunopathological aspects". Autoimmunity Reviews. 14 (5): 438–45. doi:10.1016/j.autrev.2015.01.006. PMID 25617817.
- 1 2 3 4 5 6 7 8 9 10 Culton DA, Liu Z, Diaz LA (17 October 2007). "Chapter 54. Bullous Pemphigoid". In Wolff K, Goldsmith LA, Katz SI, Gilchrest BA, Paller AS, Leffell DJ (eds.). Fitzpatrick's Dermatology In General Medicine, Two Volumes (7th ed.). Mcgraw-hill. ISBN 978-0-07-146690-5. Retrieved July 21, 2012.
- ↑ Longo, D (2012). Harrison's Principles of Internal Medicine. McGraw-Hill Medical. p. 427. ISBN 9780071632447.
- ↑ Seshadri, Divya (2013). "Acantholysis revisited: Back to basics". Indian J Dermatol Venereol Leprol. 79 (1): 120–6. doi:10.4103/0378-6323.104688. PMID 23254748.
- 1 2 Chan LS (2011). "Bullous Pemphigoid". EMedicine Reference.
- ↑ "Dorlands Medical Dictionary:bullous pemphigoid". Retrieved 2010-06-24.
- 1 2 3 Online Mendelian Inheritance in Man (OMIM): DYSTONIN; DST - 113810
- 1 2 Online Mendelian Inheritance in Man (OMIM): COLLAGEN, TYPE XVII, ALPHA-1; COL17A1 - 113811
- ↑ Giang, Jenny; Seelen, Marc A. J.; van Doorn, Martijn B. A.; Rissmann, Robert; Prens, Errol P.; Damman, Jeffrey (2018). "Complement Activation in Inflammatory Skin Diseases". Frontiers in Immunology. 9: 639. doi:10.3389/fimmu.2018.00639. ISSN 1664-3224. PMC 5911619. PMID 29713318.
- ↑ Meijer JM, Diercks GF, de Lang EW, Pas HH, Jonkman MF (December 2018). "Assessment of diagnostic strategy for early recognition of bullous and nonbullous variants of pemphigoid". JAMA Dermatol. 155 (2): 158–165. doi:10.1001/jamadermatol.2018.4390. PMC 6439538. PMID 30624575.
- 1 2 3 ""Bullous Pemphigoid." Quick Answers to Medical Diagnosis and Therapy". Retrieved 2012-07-21.
- 1 2 Singh, Sanjay; Kirtschig, Gudula; Anchan, Vinayak N.; Chi, Ching-Chi; Taghipour, Kathy; Boyle, Robert J.; Murrell, Dedee F. (2023-08-11). "Interventions for bullous pemphigoid". The Cochrane Database of Systematic Reviews. 8 (8): CD002292. doi:10.1002/14651858.CD002292.pub4. ISSN 1469-493X. PMC 10421473. PMID 37572360.
- ↑ Lamberts A, Euverman HI, Terra JB, Jonkman MF, Horváth B (2018). "Effectiveness and Safety of Rituximab in Recalcitrant Pemphigoid Diseases". Frontiers in Immunology. 9: 248. doi:10.3389/fimmu.2018.00248. PMC 5827539. PMID 29520266.
- ↑ He Y, Shimoda M, Ono Y, Villalobos IB, Mitra A, Konia T, Grando SA, Zone JJ, Maverakis E (June 2015). "Persistence of Autoreactive IgA-Secreting B Cells Despite Multiple Immunosuppressive Medications Including Rituximab". JAMA Dermatology. 151 (6): 646–50. doi:10.1001/jamadermatol.2015.59. PMID 25901938.
- ↑ Langan SM, Smeeth L, Hubbard R, Fleming KM, Smith CJ, West J (July 2008). "Bullous pemphigoid and pemphigus vulgaris--incidence and mortality in the UK: population based cohort study". BMJ. 337 (7662): a180. doi:10.1136/bmj.a180. PMC 2483869. PMID 18614511.
Further reading
- Wojnarowska F, Kirtschig G, Highet AS, Venning VA, Khumalo NP (August 2002). "Guidelines for the management of bullous pemphigoid". The British Journal of Dermatology. 147 (2): 214–21. doi:10.1046/j.1365-2133.2002.04835.x. PMID 12174090. S2CID 762307.