Congenital diaphragmatic hernia
Other namesCDH
Morgagni hernia seen on a chest radiograph.
SpecialtyMedical genetics, pediatrics Edit this on Wikidata

Congenital diaphragmatic hernia (CDH) is a birth defect of the diaphragm. The most common type of CDH is a Bochdalek hernia; other types include Morgagni hernia, diaphragm eventration and central tendon defects of the diaphragm. Malformation of the diaphragm allows the abdominal organs to push into the chest cavity, hindering proper lung formation.

CDH is a life-threatening pathology in infants and a major cause of death due to two complications: pulmonary hypoplasia and pulmonary hypertension.[1] Experts disagree on the relative importance of these two conditions, with some focusing on hypoplasia, others on hypertension.[2] Newborns with CDH often have severe respiratory distress which can be life-threatening unless treated appropriately.

Classification

Bochdalek hernia

The Bochdalek hernia, also known as a postero-lateral diaphragmatic hernia, is the most common manifestation of CDH, accounting for more than 95% of cases. In this instance the diaphragm abnormality is characterized by a hole in the postero-lateral corner of the diaphragm which allows passage of the abdominal viscera into the chest cavity. The majority of Bochdalek hernias (80–85%) occur on the left side of the diaphragm, a large proportion of the remaining cases occur on the right side. To date, it carries a high mortality[3] and is an active area of clinical research.

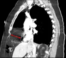
Morgagni hernia

CT of the chest demonstrates a Morgagni hernia (red arrow)

This rare anterior defect of the diaphragm is variably referred to as a Morgagni, retrosternal, or parasternal hernia. Accounting for approximately 2% of all CDH cases, it is characterized by herniation through the foramina of Morgagni which are located immediately adjacent and posterior to the xiphoid process of the sternum.[4]

Diaphragm eventration

The diagnosis of congenital diaphragmatic eventration is used when there is abnormal displacement (i.e. elevation) of part or all of an otherwise intact diaphragm into the chest cavity. This rare type of CDH occurs because in the region of eventration the diaphragm is thinner, allowing the abdominal viscera to protrude upwards.

Pathophysiology

There are genetic causes of CDH[5] including aneuploidies, chromosome copy number variants, and single gene mutations. Research implicates a few gene mutations including LONP1[6] and MYRF.[7] It involves three major defects:

Diagnosis

Congenital diaphragmatic hernia: coronal obstetric ultrasound (head to right of image, thorax centre, abdomen left) shows the stomach and heart both within the thorax.

This condition can often be diagnosed before birth and fetal intervention can sometimes help, depending on the severity of the condition.[8] Infants born with diaphragmatic hernia experience respiratory failure due to both pulmonary hypertension and pulmonary hypoplasia. The first condition is a restriction of blood flow through the lungs thought to be caused by defects in the lung. Pulmonary hypoplasia or decreased lung volume is directly related to the abdominal organs presence in the chest cavity which causes the lungs to be severely undersized, especially on the side of the hernia.

Survival rates for infants with this condition vary, but have generally been increasing through advances in neonatal medicine. Work has been done to correlate survival rates to ultrasound measurements of the lung volume as compared to the baby's head circumference. This figure known as the lung-to-head ratio (LHR). Still, LHR remains an inconsistent measure of survival. Outcomes of CDH are largely dependent on the severity of the defect and the appropriate timing of treatment.

A small percentage of cases go unrecognized into adulthood.[9]

Treatment

The first step in management is orogastric tube placement and securing the airway (intubation). Ideally, the baby will never take a breath, to avoid air going into the intestines and compressing the lungs and heart. The baby will then be immediately placed on a ventilator. Extracorporeal membrane oxygenation (ECMO) has been used as part of the treatment strategy at some hospitals.[10][11] ECMO acts as a heart-lung bypass.

Diaphragm eventration is typically repaired thoracoscopically, by a technique called plication of the diaphragm.[12] Plication basically involves a folding of the eventrated diaphragm which is then sutured in order to “take up the slack” of the excess diaphragm tissue.

Prognosis

Congenital diaphragmatic hernia has a mortality rate of 40–62%,[13] with outcomes being more favorable in the absence of other congenital abnormalities. Individual rates vary greatly dependent upon multiple factors: size of hernia, organs involved, additional birth defects and/or genetic problems, amount of lung growth, age and size at birth, type of treatments, timing of treatments, complications (such as infections) and lack of lung function.

See also

References

  1. Gaxiola A, Varon J, Valladolid G (April 2009). "Congenital diaphragmatic hernia: an overview of the etiology and current management". Acta Paediatrica. 98 (4): 621–7. doi:10.1111/j.1651-2227.2008.01212.x. PMID 19154527.
  2. Migliazza L, Bellan C, Alberti D, Auriemma A, Burgio G, Locatelli G, Colombo A (September 2007). "Retrospective study of 111 cases of congenital diaphragmatic hernia treated with early high-frequency oscillatory ventilation and presurgical stabilization". Journal of Pediatric Surgery. 42 (9): 1526–32. doi:10.1016/j.jpedsurg.2007.04.015. PMID 17848243.
  3. Herling, Anique; Makhdom, Fahd; Al-Shehri, Abdullah; Mulder, David S. (August 2014). "Bochdalek Hernia in a Symptomatic Adult". The Annals of Thoracic Surgery. 98 (2): 701–704. doi:10.1016/j.athoracsur.2013.09.074. PMID 25087794.
  4. Arráez-Aybar LA, González-Gómez CC, Torres-García AJ (2009). "Morgagni-Larrey parasternal diaphragmatic hernia in the adult". Rev Esp Enferm Dig. 101 (5): 357–66. doi:10.4321/S1130-01082009000500009. PMID 19527083.
  5. Wynn, Julia; Lan, Yu; Chung, Wendy (2014). "Genetic causes of congenital diaphragmatic hernia". Seminars in Fetal and Neonatal Medicine. 19 (6): 324–330. doi:10.1016/j.siny.2014.09.003. PMC 4259843. PMID 25447988.
  6. Qiao, Lu; et al. (2021). "Rare and de novo variants in 827 congenital diaphragmatic hernia probands implicate LONP1 as candidate risk gene". American Journal of Human Genetics. 108 (10): 1964–1980. doi:10.1016/j.ajhg.2021.08.011. PMC 8546037. PMID 34547244.
  7. Qi, Hongjian; Yu, Lan; Zhou, Xueya; Wynn, Julia; Zhao, Haoquan; Guo, Yicheng; Zhu, Na; Kitaygorodsky, Alexander; Hernan, Rebecca; Aspelund, Gudrun; Lim, Foong-Yen; Crombleholme, Timothy; Cusick, Robert; Azarow, Kenneth; Danko, Melissa E.; Chung, Dai; Warner, Brad W.; Mychaliska, George B.; Potoka, Douglas; Wagner, Amy J.; Elfiky, Mahmoud; Wilson, Jay M.; Nickerson, Debbie; Bamshad, Michael; High, Frances A.; Longoni, Mauro; Donahoe, Patricia K.; Chung, Wendy K.; Shen, Yufeng (2018). "De novo variants in congenital diaphragmatic hernia identify MYRF as a new syndrome and reveal genetic overlaps with other developmental disorders". PLOS Genetics. 14 (12): e1007822. doi:10.1371/journal.pgen.1007822. PMC 6301721. PMID 30532227. S2CID 54480742.
  8. "Deadly hernia corrected in womb – Surgeons have developed an operation to repair a potentially fatal abnormality in babies before they are born". BBC News. 2004-07-26. Retrieved 2006-07-14. – report of new operation, pioneered at London's King's College Hospital which reduced death rates in the most at risk by 50%
  9. Swain F, Klaus A, Achem S, Hinder R (2001). "Congenital Diaphragmatic Hernia in Adults". Surgical Innovation. 8 (4): 246–255. doi:10.1177/155335060100800404. PMID 11813142. S2CID 30028643.
  10. Tiruvoipati R, Vinogradova Y, Faulkner G, Sosnowski AW, Firmin RK, Peek GJ (2007). "Predictors of outcome in patients with congenital diaphragmatic hernia requiring extracorporeal membrane oxygenation". J. Pediatr. Surg. 42 (8): 1345–50. doi:10.1016/j.jpedsurg.2007.03.031. PMID 17706494.
  11. Logan JW, Rice HE, Goldberg RN, Cotten CM (2007). "Congenital diaphragmatic hernia: a systematic review and summary of best-evidence practice strategies". Journal of Perinatology. 27 (9): 535–49. doi:10.1038/sj.jp.7211794. PMID 17637787. S2CID 15451125.
  12. Becmeur F, Talon I, Schaarschmidt K, et al. (2005). "Thoracoscopic diaphragmatic eventration repair in children: about 10 cases". J. Pediatr. Surg. 40 (11): 1712–5. doi:10.1016/j.jpedsurg.2005.07.008. PMID 16291157.
  13. Pediatric Congenital Diaphragmatic Hernia at eMedicine
This article is issued from Wikipedia. The text is licensed under Creative Commons - Attribution - Sharealike. Additional terms may apply for the media files.