A Spigelian is the type of ventral hernia where aponeurotic fascia pushes through a hole in the junction of the linea semilunaris and the arcuate line creating a bulge. It appears in the abdomen lower quadrant between an area of dense fibrous tissue and abdominal wall muscles causing a (Spigelian aponeurosis).[1]
It is the protuberance, of omentum, adipose tissue, or bowel in that weak space between the abdominal wall muscles, that ultimately pushes the intestines or superficial fatty tissue through a hole causing a defect. As a result, it creates the movement of an organ or a loop of intestine in the weakened body space that it is not supposed to be in. It is at this separation (aponeurosis) in the ventral abdominal region, that herniation most commonly occurs.
Spigelian hernia | |
---|---|
Other names | Lateral ventral hernia |
![]() | |
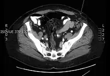
Transverse CT image of the abdomen in a patient with a Spigelian hernia (arrow). | |
Specialty | General surgery |
Spigelian hernias are rare compared to other types of hernias because they do not develop under abdominal layers of fat but between fascia tissue that connects to muscle. The Spigelian hernia is generally smaller in diameter, typically measuring 1–2 cm., and the risk of tissue becoming strangulated is high.


Signs and symptoms
Individuals typically present with either intermittent pain (coming and going), a lump, or mass all which are classic signs of a bowel obstruction.[2] The patient may have a protuberance when standing in an upright position although discomfort can sometimes be confused by its anatomical region for a peptic ulceration.[3] The bulge may be painful when the patient stretches but then goes away when they are lying down in a resting position.[4] However, a number of patients present with no obvious symptoms but vague tenderness along the area in which the Spigelian fascia is located.[5]
Diagnosis
Ultrasound Imaging or a CT Scan will provide better imaging for the detection of a hernia than an xray.[6] The ultrasound probe should move from lateral to medially, a hypoechoic mass should appear anteriorly and medially to the inferior epigastric artery during Valsalva maneuver.[7] The diagnosis of a Spigelian hernia is traditionally difficult if only given a history and physical examination.[8] People who are good candidates for elective Spigelian hernia surgery, after receiving an initial diagnostic consultation by a licensed medical professional, will be advised to see a physician to schedule surgery.
Treatment
The Spigelian hernia can be repaired by either an open procedure or laparoscopic surgery because of the high risk of strangulation;[9] surgery is straightforward, with only larger defects requiring a mesh prosthesis. In contrast to the laparoscopic intraperitoneal onlay mesh plan of action there is a significant higher risk associated with complications and recurrence rates during the period following a surgical operation.[10] A Spigelian hernia becomes immediately operative once the risk of incarceration is confirmed. Today, a Spigelian hernia can be repaired by doing robotic laparoscopy and most patients can go home the same day. This novel uncomplicated approach to small Spigelian hernias combines the benefits of laparoscopic localization, reduction, and closure without the morbidity and cost associated with foreign material.[11] Mesh-free laparoscopic suture repair is an uncomplicated approach to small Spigelian hernias combined with the benefits of a closure without the anguish and cost associated with foreign material.[6]
Eponym
Adriaan van den Spiegel, born in Brussels, was an anatomist at the University of Padua during the 17th century. In 1619 he became a professor of surgery. Spiegel was the first to describe this rare hernia in 1627.[12] The history of the Spigelian hernia became acknowledged in 1645, twenty years after Spiegel's death. In 1764, almost a century later, the Flemish anatomist, Josef Klinkosch was acknowledged for recognizing and describing a hernia located in the Spigelian fascia, and coined the term Spigelian hernia.[13]
Raveenthiran syndrome
Raveenthiran described a new syndrome in which Spigelian hernia and cryptorchidism (undescended testis) occur together.[14] Some common complications of this distinct syndrome cryptorchidism are testicular torsion, and its link to testicular cancer.[15]
References
- ↑ Skandalakis, PN; Zoras, O (2006-12-01). "Spigelian hernia: surgical anatomy, embryology, and technique of repair". The American Surgeon. 72 (1): 42–8. doi:10.1177/000313480607200110. PMID 16494181. S2CID 26111951.
- ↑ Larson, David W.; Farley, David R. (2002-10-01). "Spigelian Hernias: Repair and Outcome for 81 Patients". World Journal of Surgery. 26 (10): 1277–1281. doi:10.1007/s00268-002-6605-0. ISSN 1432-2323. PMID 12205553. S2CID 24674266.
- ↑ Mittal, T; Kumar, V; Sharma, R; Soni, V; Baijal, M; Chowbey, P.K. (2008). "Diagnosis and management of Spigelian Hernia: A review of literature and our experience". Journal of Minimal Access Surgery. 4 (4): 95–98. doi:10.4103/0972-9941.45204. PMC 2699222. PMID 19547696.
- ↑ Zucker, Benjamin; Malietzis, George; Kontovounisios, Christos (2017-10-01). "An Unexpected Cause of Acute Abdomen". Gastroenterology. 153 (4): e4–e5. doi:10.1053/j.gastro.2017.01.057. ISSN 0016-5085. PMID 28881194.
- ↑ Light, D; Chattopadhyay, D; Bawa, S (2013). "Radiological and clinical examination in the diagnosis of Spigelian hernias". Annals of the Royal College of Surgeons of England. 95 (2): 98–100. doi:10.1308/003588413X13511609957092. ISSN 0035-8843. PMC 4098597. PMID 23484989.
- 1 2 Bittner JG, Edwards MA, Shah MB, MacFadyen BV, Mellinger JD (August 2008). "Mesh-free laparoscopic spigelian hernia repair". The American Surgeon. 74 (8): 713–20, discussion 720. doi:10.1177/000313480807400808. PMID 18705572. S2CID 31085191.
- ↑ Jamadar DA, Jacobson JA, Morag Y, Girish G, Ebrahim F, Gest T, Franz M (July 2006). "Sonography of inguinal region hernias". AJR. American Journal of Roentgenology. 187 (1): 185–90. doi:10.2214/AJR.05.1813. PMID 16794175.
- ↑ Tom, SK; Tom, TN (2019). "Laparoscopic Repair of Right Spigelian Hernia and Umbilical Hernia. - PubMed - NCBI". The American Surgeon. 85 (5): e268–e270. doi:10.1177/000313481908500514. ISSN 1555-9823. PMID 31126386. S2CID 174813338.
- ↑ Vos DI, Scheltinga MR (2004). "Incidence and outcome of surgical repair of spigelian hernia". The British Journal of Surgery. 91 (5): 640–4. doi:10.1002/bjs.4524. PMID 15122618. S2CID 37633720.
- ↑ Köckerling, Ferdinand; Lammers, Bernhard (2018-10-23). "Open Intraperitoneal Onlay Mesh (IPOM) Technique for Incisional Hernia Repair". Frontiers in Surgery. 5: 66. doi:10.3389/fsurg.2018.00066. ISSN 2296-875X. PMC 6206818. PMID 30406110.
- ↑ Bittner, James G. IV (2010-10-02). "Mesh-free Laparoscopic Repair of Small Spigelian Hernias". Surgical Laparoscopy Endoscopy & Percutaneous Techniques. 20 (1): 63–64. doi:10.1097/SLE.0b013e3181cb842c. ISSN 1530-4515. PMID 20173625.
- ↑ Ghosh, Sanjib Kumar; Sharma, Suranjali; Biswas, Sudipa; Chakraborty, Soumya (2014). "Adriaan van den Spiegel (1578–1625): Anatomist, physician, and botanist". Clinical Anatomy. 27 (7): 952–957. doi:10.1002/ca.22414. ISSN 1098-2353. PMID 24811238. S2CID 12342472.
- ↑ Uchiyama, Kiichiro (1998). "Reports on Experiments Kilchiro and Clinical Cases". Spigelian Hernia: Case Study.
- ↑ Raveenthiran V (Dec 2005). "Congenital Spigelian hernia with cryptorchidism: probably a new syndrome". Hernia. 9 (4): 378–80. doi:10.1007/s10029-005-0316-z. PMID 15782280. S2CID 28058188.
- ↑ Kariappa, Mohan Kumar; Vivek, Harihar (2016). "Pantaloon Hernia: Obstructed indirect Component and Direct Component with Cryptorchidism". Case Reports in Surgery. 2011: 1461425. doi:10.1155/2016/1461425. PMC 4989057. PMID 27579208.
External links
