Enamel hypoplasia | |
---|---|
![]() | |
Specialty | Dentistry |
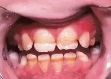
Enamel hypoplasia is a defect of the teeth in which the enamel is deficient in quantity,[1] caused by defective enamel matrix formation during enamel development, as a result of inherited and acquired systemic condition(s). It can be identified as missing tooth structure and may manifest as pits or grooves in the crown of the affected teeth, and in extreme cases, some portions of the crown of the tooth may have no enamel, exposing the dentin.[2] It may be generalized across the dentition or localized to a few teeth. Defects are categorized by shape or location. Common categories are pit-form, plane-form, linear-form, and localised enamel hypoplasia.[3][4][5] Hypoplastic lesions are found in areas of the teeth where the enamel was being actively formed during a systemic or local disturbance. Since the formation of enamel extends over a long period of time, defects may be confined to one well-defined area of the affected teeth. Knowledge of chronological development of deciduous and permanent teeth makes it possible to determine the approximate time at which the developmental disturbance occurred.[6] Enamel hypoplasia varies substantially among populations and can be used to infer health and behavioural impacts from the past. Defects have also been found in a variety of non-human animals.[7][8][9]
Causes

Enamel hypoplasia is believed to result from the dysfunction of ameloblasts—enamel-producing cells—either for a short period of time or throughout their lifespan. Enamel hypoplasia has a wide variety of known causes. Some causes are hereditary and others are from environmental exposure. The severity and localization of disease presentation is dependent on the timing and stage of tooth development in which the defective enamel formation occurred.
Hereditary causes of enamel hypoplasia include:
- Primary abnormalities in enamel development, such as amelogenesis imperfecta
- Certain dermatological conditions, such as Ehlers-Danlos syndrome
- Other complex hereditary conditions such as Usher syndrome, Seckel syndrome, Treacher-Collins syndrome, Heimler syndrome & Ellis-Van Creveld syndrome, Down syndrome, Hypophosphatasia, Regional odontodysplasia, Cleft lip and palate, Vitamin D-resistant rickets.[13]
Environmental causes of enamel hypoplasia include:
- Nutritional deficits, such as Vitamin D, iron or calcium deficiency[14]
- Birth injury or preterm birth[14]
- Smoking during pregnancy
- Trauma[14]
- Radiation
- Certain infections (e.g. congenital syphilis, cytomegalovirus, congenital rubella)[14]
- Certain diseases (such as undiagnosed and untreated celiac disease,[15][16][17] chicken pox, congenital syphilis[14])
- High fever
- Hypoxia (i.e. from severe cardiac defect)
- Excessive fluoride exposure (dental fluorosis)[14]
- Tetracycline
- Vitamin A, C, or D deficiency[18]
Clinical relevance

Enamel hypoplasia is a risk factor for dental caries in children including early childhood caries (ECC), which continues to be a burden for many children. This association has been identified as significant and independent, and is believed that the formation of pits and missing enamel provides a suitable local environment for adhesion and colonization of cariogenic bacteria. Historically, enamel hypoplasia has been under-appreciated as a risk factor for ECC.
Developmental defects in enamel that affect tooth appearance in the esthetic zone (i.e. upper front teeth) may cause individuals to experience social embarrassment or anxiety regarding the appearance of their teeth.
Guidelines for Treatment of Enamel Hypoplasia
Dental sealants may be indicated for the prevention of caries in hypoplastic pit & fissure systems.
According to clinical trials, topical fluoride treatment in the form of gel or varnish is effective in preventing tooth decay in children with enamel defects. Treatment with other topical agents, such as calcium phosphate (CPP-ACP), may also be effective in the remineralization of areas with congenital or carious enamel defects.[19]
In decayed teeth with enamel defects, only bonded restorations (e.g. glass ionomer, polyacid-modified composite resin and not amalgam) should be placed and cavity margins should not be placed in areas of defective enamel as this may lead to marginal leakage and recurrent decay. Stainless steel crowns with conservative preparation may be an effective method to eliminate sensitivity and prevent further breakdown in teeth with enamel defects requiring full-coverage crowns.[19]
Other conditions affecting enamel development
Hypomineralization or hypocalcification, as opposed to hypoplasia, refers to a decrease in the mineral content of the enamel, not the total amount present. It can vary in its presentation, and teeth may appear visually normal or highly translucent. Affected enamel is softer and more susceptible to acid, wear and decay.
Molar-incisor hypomineralization
Molar-incisor hypomineralization (MIH) is a condition in which there are areas of hypomineralized or hypomatured enamel on the crowns of permanent molars and incisors. In these cases, teeth may lose their weakened enamel shortly after eruption and are highly susceptible to dental caries. Affected teeth are highly sensitive to chemical and thermal irritants, and may also be difficult to obtain anesthesia. The causes of MIH are thought to be similar to those of other forms of enamel hypoplasia, but occur concurrently with crown development in the permanent molars and incisors (birth to approximately 3 years of age).[20]
Turner's hypoplasia
Turner's hypoplasia or Turner's tooth is a presentation of enamel hypoplasia that normally affects only a single tooth. Its causes can be the same as other forms of enamel hypoplasia, but it is most commonly associated with trauma to a primary maxillary central incisor and the subsequent developmental disturbance of the underlying permanent tooth.[21] This may also result in dilaceration of the root of the permanent tooth.[22]
References
- ↑ Ash Jr MM, Nelson SJ (2003). Dental anatomy, physiology, and occlusion (8th ed.). Philadelphia: W.B. Saunders. ISBN 978-0-7216-9382-8.
- ↑ Towle I, Dove ER, Irish JD, De Groote I (2018). "Severe Plane-Form Enamel Hypoplasia in a Dentition from Roman Britain" (PDF). Dental Anthropology Journal. 30: 16–24. doi:10.26575/daj.v30i1.23.
- ↑ Towle I, Irish JD (April 2019). "A probable genetic origin for pitting enamel hypoplasia on the molars of Paranthropus robustus" (PDF). Journal of Human Evolution. 129: 54–61. doi:10.1016/j.jhevol.2019.01.002. PMID 30904040.
- ↑ Hillson S, Bond S (September 1997). "Relationship of enamel hypoplasia to the pattern of tooth crown growth: a discussion". American Journal of Physical Anthropology. 104 (1): 89–103. doi:10.1002/(SICI)1096-8644(199709)104:1<89::AID-AJPA6>3.0.CO;2-8. PMID 9331455.
- ↑ Skinner MF, Skinner MM, Pilbrow VC, Hannibal DL (2016). "An Enigmatic Hypoplastic Defect of the Maxillary Lateral Incisor in Recent and Fossil Orangutans from Sumatra (Pongo abelii) and Borneo (Pongo pygmaeus)" (PDF). International Journal of Primatology. 37 (4–5): 548–567. doi:10.1007/s10764-016-9920-2. S2CID 42106249.
- ↑ Kumar G (2011). Orban's Oral Histology and Embryology (13th ed.). India: Elsevier. pp. 72–87.
- ↑ Dobney K, Ervynck A (2000). "Interpreting Developmental Stress in Archaeological Pigs: The Chronology of Linear Enamel Hypoplasia". Journal of Archaeological Science. 27 (7): 597–607. doi:10.1006/jasc.1999.0477.
- ↑ Towle I, Irish JD, De Groote I (April 2018). "Amelogenesis imperfecta in the dentition of a wild chimpanzee" (PDF). Journal of Medical Primatology. 47 (2): 117–119. doi:10.1111/jmp.12323. PMID 29112236. S2CID 3801451.
- ↑ Moggi-Cecchi J, Crovella S (1991). "Occurrence of enamel hypoplasia in the dentitions of simian primates". Folia Primatologica; International Journal of Primatology. 57 (2): 106–10. doi:10.1159/000156571. PMID 1786905.
- 1 2 "Diagnosis of Celiac Disease". National Institute of Health (NIH). Archived from the original on 15 May 2017. Retrieved 6 June 2017.
{{cite web}}
: CS1 maint: bot: original URL status unknown (link) - ↑ Dental Enamel Defects and Celiac Disease Archived March 5, 2016, at the Wayback Machine National Institute of Health (NIH)
- ↑ Pastore L, Carroccio A, Compilato D, Panzarella V, Serpico R, Lo Muzio L (March 2008). "Oral manifestations of celiac disease". Journal of Clinical Gastroenterology (Review). 42 (3): 224–32. doi:10.1097/MCG.0b013e318074dd98. hdl:10447/1671. PMID 18223505. S2CID 205776755.
- ↑ bhong, akash (2023-05-10). "Is Tooth decay hereditary? - Healthy bano". healthy bano. Retrieved 2023-05-10.
- 1 2 3 4 5 6 Kanchan T, Machado M, Rao A, Krishan K, Garg AK (2015). "Enamel hypoplasia and its role in identification of individuals: A review of literature". Indian Journal of Dentistry. 6 (2): 99–102. doi:10.4103/0975-962X.155887. PMC 4455163. PMID 26097340.
- ↑ Dental Enamel Defects and Celiac Disease Archived 2016-03-05 at the Wayback Machine National Institute of Health (NIH)
- ↑ Ferraz EG, Campos E, Sarmento VA, Silva LR (2012). "The oral manifestations of celiac disease: information for the pediatric dentist". Pediatric Dentistry. 34 (7): 485–8. PMID 23265166.
- ↑ Giuca MR, Cei G, Gigli F, Gandini P (2010). "Oral signs in the diagnosis of celiac disease: review of the literature". Minerva Stomatologica. 59 (1–2): 33–43. PMID 20212408.
- ↑ Enamel Hypoplasia Doctor Staci Whitman (2021)
- 1 2 Lacruz RS, Habelitz S, Wright JT, Paine ML (July 2017). "Dental Enamel formation and Implicateions for Oral Health and Disease". Physiological Reviews. 97 (3): 939–993. doi:10.1152/physrev.00030.2016. PMC 6151498. PMID 28468833.
- ↑ Seow, W. K. (2014). "Developmental defects of enamel and dentine: challenges for basic science research and clinical management". Australian Dental Journal. 59 (s1): 143–154. doi:10.1111/adj.12104. ISSN 1834-7819. PMID 24164394.
- ↑ Bhushan, B. A.; Garg, S.; Sharma, D.; Jain, M. (2008). "Esthetic and endosurgical management of Turner's hypoplasia; a sequlae of trauma to developing tooth germ". Journal of Indian Society of Pedodontics and Preventive Dentistry. 26 (Suppl 3): S121–124. ISSN 0970-4388. PMID 19127030.
- ↑ Altun C (April 2009). "Hypoplasia of a Permanent Incisor Produced by Primary Incisor Intrusion: A Case Report" (PDF). JCDA. 75 (3): 215–218.