Epithelial-myoepithelial carcinoma
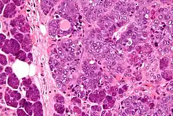
Micrograph of an epithelial-myoepithelial carcinoma (right of image). The epithelial component has a tubular morphology and is evident only focally (upper left of image). Benign serous glands (parotid salivary gland) are also seen (left of image). H&E stain.
SpecialtyENT surgery

Epithelial-myoepithelial carcinoma (EMCa) is a rare malignant tumour that typically arises in a salivary gland and consists of both an epithelial and myoepithelial component. They are predominantly found in the parotid gland[1] and represent approximately 1% of salivary gland tumours.[2]

Cause

Diagnosis

EMCas are diagnosed by examination of tissue, e.g. a biopsy.

This tumour is characterised by biphasic tubular structures composed of inner ductal and outer clear myoepithelial cells.

Its appearance is very similar to adenomyoepithelioma of the breast, which may be the same tumour at a different anatomical site.[3]

The histologic differential diagnosis includes adenoid cystic carcinoma and pleomorphic adenoma.

Prognosis

They generally have a good prognosis.[1] In one larger study, the 5-year and 10-year survival were over 90% and 80% respectively.[4]

See also

References

  1. 1 2 Kasper HU, Mellin W, Kriegsmann J, Cheremet E, Lippert H, Roessner A (1999). "Epithelial-myoepithelial carcinoma of the salivary gland--a low grade malignant neoplasm? Report of two cases and review of the literature". Pathology, Research and Practice. 195 (3): 189–192. doi:10.1016/S0344-0338(99)80033-8. PMID 10220800.
  2. Tralongo V, Daniele E (1998). "Epithelial-myoepithelial carcinoma of the salivary glands: a review of literature". Anticancer Research. 18 (1B): 603–608. PMID 9568184.
  3. Seifert G (September 1998). "Are adenomyoepithelioma of the breast and epithelial-myoepithelial carcinoma of the salivary glands identical tumours?". Virchows Archiv. 433 (3): 285–288. doi:10.1007/s004280050249. PMID 9769134. S2CID 40969684.
  4. Seethala RR, Barnes EL, Hunt JL (January 2007). "Epithelial-myoepithelial carcinoma: a review of the clinicopathologic spectrum and immunophenotypic characteristics in 61 tumors of the salivary glands and upper aerodigestive tract". The American Journal of Surgical Pathology. 31 (1): 44–57. doi:10.1097/01.pas.0000213314.74423.d8. PMID 17197918. S2CID 9301498.
This article is issued from Wikipedia. The text is licensed under Creative Commons - Attribution - Sharealike. Additional terms may apply for the media files.