Nonunion | |
---|---|
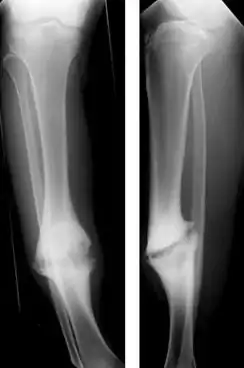
![]() | |
Hypertrophic nonunion of the tibia | |
Specialty | Orthopedics |
Nonunion is permanent failure of healing following a broken bone unless intervention (such as surgery) is performed. A fracture with nonunion generally forms a structural resemblance to a fibrous joint, and is therefore often called a "false joint" or pseudoarthrosis (from Greek pseudo-, meaning false, and arthrosis, meaning joint). The diagnosis is generally made when there is no healing between two sets of medical imaging, such as X-ray or CT scan. This is generally after 6–8 months.[1]
Nonunion is a serious complication of a fracture and may occur when the fracture moves too much, has a poor blood supply or gets infected. Patients who smoke have a higher incidence of nonunion. The normal process of bone healing is interrupted or stalled.
Since the process of bone healing is quite variable, a nonunion may go on to heal without intervention in very few cases. In general, if a nonunion is still evident at 6 months post-injury it will remain unhealed without specific treatment, usually orthopedic surgery. A non-union which does go on to heal is called a delayed union.[2]
Signs and symptoms
A history of a broken bone is usually apparent. The patient complains of persistent pain at the fracture site and may also notice abnormal movement or clicking at the level of the fracture. An X-ray plate of the fractured bone shows a persistent radiolucent line at the fracture. Callus formation may be evident but callus does not bridge across the fracture. If there is doubt about the interpretation of the x-ray, stress x-rays, tomograms or CT scan may be used for confirmation.
Causes
The reasons for non-union are:
- avascular necrosis (the blood supply was interrupted by the fracture)[3]
- the two ends are not apposed (that is, they are not next to each other)
- infection (particularly osteomyelitis)[4]
- the fracture is not fixed (that is, the two ends are still mobile)
- soft-tissue imposition (there is muscle or ligament covering the broken ends and preventing them from touching each other)
Risk factors
- Related to the person:
- Old age.
- Poor nutritional status.
- Habitual nicotine and alcohol consumption.
- Metabolic disturbances such as hyperparathyroidism.
- Can be found in those with NF1.
- Genetic predisposition.[5]
- Related to the fracture site:
- Soft tissue interposition.
- Bone loss at the fracture.
- Infection.
- Loss of blood supply.
- Damage of surrounding muscles.
- Related to the treatment:
- Inadequate reduction.
- Insufficient immobilization.
- Improperly applied fixation devices.
Types of nonunion
There are typically three types of nonunion described.
Hypertrophic nonunion
In a hypertrophic nonunion, the fracture site contains adequate blood supply but the fracture ends fail to heal together.[6] X-rays show abundant callus formation. This type of nonunion is thought to occur when the body has adequate biology, such as stem cells and blood supply, but inadequate stability, meaning the bone ends are moving too much. Typically, the treatment consists of increasing stability of the fracture site with surgical implants.[7]
Atrophic nonunion
In an atrophic nonunion, x-rays show little to no callus formation. This is usually due to impaired bony healing, for example due to vascular causes (e.g. impaired blood supply to the bone fragments) or metabolic causes (e.g. diabetes or smoking). Failure of initial union, as when bone fragments are separated by soft tissue, may also lead to an atrophic non-union. Atrophic non-unions can be treated by stimulating blood flow and encouraging healing. This is often done surgically by removing the end layer of bone to provide raw ends for healing and the use of bone grafts.[8]
Oligotrophic nonunion
As the name implies, an oligotrophic nonunion demonstrates some attempt by the body to heal the fracture. These are thought to arise from adequate biology but displacement at the fracture site.[7]
Diagnosis
A diagnosis of nonunion is made when the clinician feels there will be no further bone healing without intervention. The FDA defines it as a fracture at least 9 months old that has not shown any signs of radiographic healing within the last 3 months.[9] CT scans offer a closer look at the fracture and may also be used to evaluate how much of the fracture has healed. Blood tests can evaluate if the patient has adequate levels of nutrients such as calcium and vitamin D. Blood tests can also look for markers of infection such as ESR and CRP.[7]
Treatment

Surgery
Currently, there are different strategies to augment the bone-regeneration process, however, there is no standardised clinical treatment guideline yet.[9] Surgical treatment options include:
- Debridement: radical surgical removal of necrotic or infected soft tissue and bone tissue is deemed essential for the healing process.[10]
- Immobilization of the fracture with internal or external fixation. Metal plates, pins, screws, and rods, that are screwed or driven into a bone, are used to stabilize the broken bone fragments.
- Bone grafting. Filling of the bone defect resulting from debridement must be performed. Autologous bone graft is the "gold standard" treatment and possesses osteogenic, osteoinductive, and osteoconductive properties, although only a limited sample can be taken and there is a high risk of side effects.[11]
- Bone graft substitutes. Inorganic bone substitutes may be used to complement or replace autologous bone grafting. The advantage is that there is no morbidity on sampling and their availability is not restricted. S53P4 bioactive glass has shown good results as a promising bone graft substitute in treatment of nonunions, due to its osteostimulative, osteoconductive and antimicrobial properties.[12]
In simple cases, healing may be evident within 3 months. Gavriil Ilizarov revolutionized the treatment of recalcitrant nonunions demonstrating that the affected area of the bone could be removed, the fresh ends "docked" and the remaining bone lengthened using an external fixator device.[13] The time course of healing after such treatment is longer than normal bone healing. Usually, there are signs of union within 3 months, but the treatment may continue for many months beyond that.
Bone stimulation
Bone stimulation with either electromagnetic or ultrasound waves has been suggested to reduce the healing time for non-union fractures.[14] The proposed mechanism of action is by stimulating osteoblasts and other proteins that form bones using these modalities. The evidence supporting the use of ultrasound and shockwave therapy for improving unions is very weak[15] and it is likely that these approaches do not make a clinically significant difference for a delayed union or non-union.[16]
Prognosis
By definition, a nonunion will not heal if left alone. Therefore, the patient's symptoms will not be improved and the function of the limb will remain impaired. It will be painful to bear weight on it and it may be deformed or unstable. The prognosis of nonunion if treated depends on many factors including the age and general health of the patient, the time since the original injury, the number of previous surgeries, smoking history, the patient's ability to cooperate with the treatment. In the region of 80% of nonunions heal after the first operation. The success rate with subsequent surgeries is less.
See also
References
- ↑ Page 542 in: Rigmor Texhammar, Christopher Colton (2013). AO/ASIF Instruments and Implants: A Technical Manual (2 ed.). Springer Science & Business Media. ISBN 9783662030325.
- ↑ "Nonunions - OrthoInfo - AAOS". Retrieved 2018-09-02.
- ↑ "Questions and Answers about Osteonecrosis (Avascular Necrosis)". NIAMS. October 2015. Archived from the original on 9 August 2017.
This article incorporates text from this source, which is in the public domain.
- ↑ "Osteomyelitis". The Lecturio Medical Concept Library. Retrieved 26 August 2021.
- ↑ McCoy, Thomas H.; Fragomen, Austin T.; Hart, Kamber L.; Pellegrini, Amelia M.; Raskin, Kevin A.; Perlis, Roy H. (January 2019). "Genomewide Association Study of Fracture Nonunion Using Electronic Health Records". JBMR Plus. 3 (1): 23–28. doi:10.1002/jbm4.10063. ISSN 2473-4039. PMC 6339539. PMID 30680360.
- ↑ RHINELANDER, FREDERIC W. (June 1968). "The Normal Microcirculation of Diaphyseal Cortex and Its Response to Fracture". The Journal of Bone & Joint Surgery. 50 (4): 784–800. doi:10.2106/00004623-196850040-00016. ISSN 0021-9355. PMID 5658563.
- 1 2 3 Brinker, Mark R.; O'Connor, Daniel P. (2009), "Nonunions", Skeletal Trauma, Elsevier, pp. 615–707, doi:10.1016/b978-1-4160-2220-6.10022-2, ISBN 9781416022206, retrieved 2021-10-07
- ↑ Binod, Bijukachhe; Nagmani, Singh; Bigyan, Bhandari; Rakesh, John; Prashant, Adhikari (August 2016). "Atrophic, aseptic, tibial nonunion: how effective is modified Judet's osteoperiosteal decortication technique and buttress plating?". Archives of Orthopaedic and Trauma Surgery. 136 (8): 1069–1076. doi:10.1007/s00402-016-2488-7. ISSN 1434-3916. PMID 27317343. S2CID 25366783.
- 1 2 Calori, Gm (2017). "Non-unions". Clinical Cases in Mineral and Bone Metabolism. 14 (2): 186–188. doi:10.11138/ccmbm/2017.14.1.186. ISSN 1971-3266. PMC 5726207. PMID 29263731.
- ↑ Simpson, A. H. R. W.; Deakin, M.; Latham, J. M. (April 2001). "Chronic osteomyelitis: THE EFFECT OF THE EXTENT OF SURGICAL RESECTION ON INFECTION-FREE SURVIVAL". The Journal of Bone and Joint Surgery. British Volume. 83-B (3): 403–407. doi:10.1302/0301-620X.83B3.0830403. ISSN 0301-620X.
- ↑ Sen, M.K.; Miclau, T. (March 2007). "Autologous iliac crest bone graft: Should it still be the gold standard for treating nonunions?". Injury. 38 (1): S75–S80. doi:10.1016/j.injury.2007.02.012. PMID 17383488.
- ↑ Malat, Tarek Al; Glombitza, Martin; Dahmen, Janosch; Hax, Peter-Michael; Steinhausen, Eva (April 2018). "The Use of Bioactive Glass S53P4 as Bone Graft Substitute in the Treatment of Chronic Osteomyelitis and Infected Non-Unions – a Retrospective Study of 50 Patients". Zeitschrift für Orthopädie und Unfallchirurgie (in German). 156 (2): 152–159. doi:10.1055/s-0043-124377. ISSN 1864-6697. PMID 29665602.
- ↑ Niedzielski K, Synder M (2000). "The treatment of pseudarthrosis using the Ilizarov method". Ortop Traumatol Rehabil. 2 (3): 46–8. PMID 18034140.
- ↑ Victoria, Galkowski; Petrisor, Brad; Drew, Brian; Dick, David (2009). "Bone stimulation for fracture healing: What′s all the fuss?". Indian Journal of Orthopaedics. 43 (2): 117–20. doi:10.4103/0019-5413.50844. ISSN 0019-5413. PMC 2762251. PMID 19838359.
- ↑ Leighton, R.; Watson, J.T; Giannoudis, P.; Papakostidis, C.; Harrison, A.; Steen, R.G. (May 2017). "Healing of fracture nonunions treated with low-intensity pulsed ultrasound (LIPUS): A systematic review and meta-analysis" (PDF). Injury. 48 (7): 1339–1347. doi:10.1016/j.injury.2017.05.016. PMID 28532896.
- ↑ Searle, Henry Kc; Lewis, Sharon R.; Coyle, Conor; Welch, Matthew; Griffin, Xavier L. (2023-03-03). "Ultrasound and shockwave therapy for acute fractures in adults". The Cochrane Database of Systematic Reviews. 2023 (3): CD008579. doi:10.1002/14651858.CD008579.pub4. ISSN 1469-493X. PMC 9983300. PMID 36866917.
External links
