Omental cake | |
---|---|
Other names | omental thickening |
![]() | |
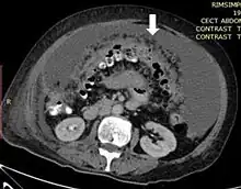
Axial abdominal computed tomography featuring omental caking due to peritoneal carcinomatosis | |
Causes | metastatic cancer, infectious disease |
Diagnostic method | medical imaging |
Omental cake is a radiologic sign indicative of an abnormally thickened greater omentum.[1] It refers to infiltration of the normal omental structure by other types of soft-tissue or chronic inflammation resulting in a thickened, or cake-like appearance.[2]
Causes
Typically, it is caused by infiltration of metastatic tumors arising from the stomach, ovary, or colon. This dissemination of cancerous cells that do not originate from the omentum itself is called peritoneal carcinomatosis. It can occur other regional tumors such as lymphoma where it is associated with regional lymphadenopathy.[3] It can also rarely occur as a result of infectious causes such as tuberculous peritonitis, peritoneal coccidioidomycosis, and histoplasmosis.[4]
Signs and symptoms
For the most common cause, peritoneal carcinomatosis, omental caking is associated with a wide variety of symptoms. Ascites and intestinal peristalsis is known to have an effect on how diffusely the cancer cells are spread throughout the abdomen. This wide range of presentation makes omental caking difficult to diagnose based on symptoms alone.[5]
In patients with omental caking due to peritoneal lymphomatosis secondary to cancers such as Non-Hodgkin's lymphoma or MALT lymphoma, the most frequent symptoms encountered are abdominal pain, gastric distention, and weight loss.[6]

Causes such as bacterial and fungal infections are associated with diffuse abdominal pain, intraperitoneal fluid accumulation, weight loss, fevers, and night sweats. The most common radiographic feature among patients with suspected tuberculous peritonitis was septated compartments of ascitic fluid on ultrasound and abnormal chest X-ray suggestive of previous tuberculosis.[7]
Diagnosis and treatment
Due to the variety of symptoms experienced by patients with omental caking,[5] omental cakes are most frequently discovered on abdominal computed tomography (CT) or ultrasound. Plain film radiography (X-ray) is not a suggested modality for investigating the spread of cancerous cells in the abdomen due to the poor spatial resolution amongst soft-tissue densities. Contrast resolution obtained through CT allows radiologists to investigate omental caking for morphology, intraperitoneal fluid, and regional lymphadenopathy assists in proper diagnosis so clinicians, surgeons, and oncologists can plan the appropriate course of treatment.[8]
After omental cakes have been identified on CT or ultrasound, it may be appropriate to gain more information on the characteristics of the disease by undergoing nuclear medicine scans that can identify tissues where the cancerous cells may have spread[9] or magnetic resonance imaging (MRI) for a higher degree of spatial resolution.[10] Suspected infectious etiologies may require another degree of medical testing including blood antigen or antibody analysis.[11] Yet, in both malignant and infectious cases, image-guided biopsy with pathologic correlation is the most definitive way to confirm the diagnosis. [10]

The presence of omental cakes have long been seen as an indication of poor prognosis in patients with advanced-stage ovarian or gastrointestinal cancer, and medical teams usually address this through more advanced and aggressive treatments such as cytoreductive surgery and hyperthermic-intraperitoneal chemotherapy (HIPEC).[12] During surgery, the presence of omental caking makes incomplete resection more likely.[13] In patients where omental spread is completely removed, intestinal resections are more likely to be encountered due to the caked omentum's propensity for spreading malignancy to adjacent organs.[13][14] If malignant, as patients undergo treatment they are likely to undergo routine nuclear medicine imaging as surveillance for response to the treatment or recurrence of disease.[15]
Mimics
Common disease presentations that are different but may appear similar include pseudomyxoma peritonei, peritoneal mesothelioma, splenosis in patients with a history of splenectomy, and diffuse peritoneal leiomyomatosis.[16] These diagnoses should be considered in patients with suspected omental caking and a history that makes malignant or infectious causes less likely. Image-guided biopsy with pathologic correlation is the gold-standard method for distinguishing these entities.[10]
History
Omental cakes have long been described during malignancy-related surgical interventions. In 1985, Drs. Stephen Rubesin and Marc Levine were the first to publish a radiographic review of omental caking and to describe the propensity for omental spread to facilitate colonic metastases due to the proximity of the greater omentum to bowel.[14] Since then, many radiologists have adopted techniques to investigate omental thickening and irregularities in density using the Hounsfield scale and other radiographic tools to determine the extent of abdominal disease.[4]
References
- ↑ med/2749 at eMedicine
- ↑ Navarro, Matthew; Elfanagely, Yousef; Glotfelty, Joel; Dapaah-Afriyie, Kwame (2021-08-02). "Omental Caking: An Ominous Sign?". Rhode Island Medical Journal (2013). 104 (6): 20–21. ISSN 2327-2228. PMID 34323874.
- ↑ Gaillard, Frank. "Omental cake | Radiology Reference Article | Radiopaedia.org". Radiopaedia. Retrieved 2022-03-21.
- 1 2 Mamlouk, Mark Daniel; Vansonnenberg, Eric; Shankar, Sridhar; Silverman, Stuart G. (August 2008). "Omental cakes: unusual aetiologies and CT appearances". Insights into Imaging. 2 (4): 399–408. doi:10.1007/s13244-011-0105-4. ISSN 1869-4101. PMC 3259316. PMID 22347961.
- 1 2 Levinson, Kimberly L; Belinson, Jerome L (2014-08-01), "Peritoneal carcinomatosis: signs and symptoms", Advances in the Management of Peritoneal Carcinomatosis, Future Medicine Ltd, pp. 6–15, doi:10.2217/ebo.12.407, ISBN 978-1-78084-267-7, retrieved 2022-03-22
- ↑ Zhu, Min; Wu, Zhixuan; Yang, Zhaoxia; Ning, Bo; Yu, Shengjie; Gu, Xiling; Yu, Huihong (2021-09-02). "Non-Hodgkin's Lymphoma Presenting as Isolated Peritoneal Lymphomatosis: A Case Report and Literature Review". Frontiers in Oncology. 11: 719554. doi:10.3389/fonc.2021.719554. ISSN 2234-943X. PMC 8443791. PMID 34540689.
- ↑ Vardareli, E; Kebapcı, M; Saricam, T; Pasaoglu, Ö; Açikalin, M (2004-03-01). "Tuberculous peritonitis of the wet ascitic type: clinical features and diagnostic value of image-guided peritoneal biopsy". Digestive and Liver Disease. 36 (3): 199–204. doi:10.1016/j.dld.2003.10.016. ISSN 1590-8658. PMID 15046190.
- ↑ Meng, Hong; Li-fang, G. U. O.; Jian-mei, Zhang; Meng-jun, Wang; Ren-gui, Wang (2020-03-10). "Value of CT scan for diagnosis and differential diagnosis of diffuse peritoneal lesions". Chinese Journal of Antituberculosis. 42 (3): 227. doi:10.3969/j.issn.1000-6621.2020.03.009. ISSN 1000-6621.
- ↑ Spottswood, S. E.; Lopatina, O. A.; Fey, G. L.; Boardman, C. H. (January 2005). "Peritoneal Carcinomatosis From Cervical Cancer Detected by F-18 FDG Positron Emission Tomography". Clinical Nuclear Medicine. 30 (1): 56–59. doi:10.1097/00003072-200501000-00022. ISSN 0363-9762. PMID 15604978.
- 1 2 3 Kuriyama, K.; Koyama, T.; Nakashita, S.; Nakatani, K.; Ishizaka, Y.; Notohara, K. (2020-01-12). "The spectrum of omental cake; imaging findings and resolutions". ECR 2020 EPOS. Retrieved 2022-03-23.
- ↑ "Diagnosis and testing | Coccidioidomycosis | Types of Fungal Diseases | Fungal |". www.cdc.gov. 2021-01-29. Retrieved 2022-03-23.
- ↑ Narasimhan, Vignesh; Ooi, Geraldine; Michael, Michael; Ramsay, Robert; Lynch, Craig; Heriot, Alexander (2020-03-04). "Colorectal peritoneal metastases: pathogenesis, diagnosis and treatment options – an evidence‐based update". ANZ Journal of Surgery. 90 (9): 1592–1597. doi:10.1111/ans.15796. hdl:11343/275511. ISSN 1445-1433. PMID 32129577. S2CID 212405831.
- 1 2 Bacalbasa, Nicolae; Diaconu, Camelia; Iliescu, Laura; Savu, Cornel; Bratu, Ovidiu Gabriel; Bolca, Ciprian; Cretoiu, Dragos; Filipescu, Alexandru; Dima, Simona; Balalau, Cristian; Balescu, Irina (2020-07-01). "The Influence of "Omental Cake" Presence on the Completeness of Cytoreduction in Advanced-stage Ovarian Cancer". In Vivo. 34 (4): 2187–2191. doi:10.21873/invivo.12028. ISSN 0258-851X. PMC 7439871. PMID 32606203.
- 1 2 Rubesin, S E; Levine, M S (1985-03-01). "Omental cakes: colonic involvement by omental metastases". Radiology. 154 (3): 593–596. doi:10.1148/radiology.154.3.3969458. ISSN 0033-8419. PMID 3969458.
- ↑ Funicelli, L.; Travaini, L. L.; Landoni, F.; Trifirò, G.; Bonello, L.; Bellomi, M. (2010-12-01). "Peritoneal carcinomatosis from ovarian cancer: the role of CT and [18F]FDG-PET/CT". Abdominal Imaging. 35 (6): 701–707. doi:10.1007/s00261-009-9578-8. ISSN 1432-0509. PMID 19784697. S2CID 24189918.
- ↑ Diop, A. D.; Fontarensky, M.; Montoriol, P. -F.; Da Ines, D. (2014-09-01). "CT imaging of peritoneal carcinomatosis and its mimics". Diagnostic and Interventional Imaging. 95 (9): 861–872. doi:10.1016/j.diii.2014.02.009. ISSN 2211-5684. PMID 24631039.