Pilar sheath acanthoma
Pilar sheath acanthoma
SpecialtyOncology Edit this on Wikidata

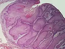
A pilar sheath acanthoma is a cutaneous condition most often found on the face, particularly above the upper lip in adults.[1]:โ€Š675โ€Š

See also

References

  1. โ†‘ James, William D.; Berger, Timothy G.; et al. (2006). Andrews' Diseases of the Skin: Clinical Dermatology. Saunders Elsevier. ISBN 0-7216-2921-0.


This article is issued from Wikipedia. The text is licensed under Creative Commons - Attribution - Sharealike. Additional terms may apply for the media files.