Silent hypoxia | |
---|---|
![]() | |
Specialty | Critical care medicine, Infectious disease, pulmonology |
Risk factors | COVID-19, altitude sickness |
Silent hypoxia (also known as happy hypoxia)[1][2] is generalised hypoxia that does not coincide with shortness of breath.[3][4][5] This presentation is known to be a complication of COVID-19,[6][7] and is also known in walking pneumonia,[8] altitude sickness,[9][10][11] and rebreather diving.[12][13]
Causes
One theory relating to COVID-19 presentation suggests the impaired processing of severe hypoxia and resumption of normal breathing may be due to the neurological pathway by which the virus spreads from the oral cavity to the brain.[14] It is speculated that this condition is caused by SARS-CoV-2 affecting the blood flow of the lungs' airways, in addition to the blood vessels within the lungs, which must match in order to allow proper airflow, but not affecting them enough to cause shortness of breath.[15][16] It is also speculated that silent hypoxia may be caused by the formation of small blood clots within the lungs.[17][18][19] It has been shown that the breathing rates of patients with COVID-19 gradually increase, which in turn leads to silent hypoxia.[20] It has also been shown that COVID-19 patients experience lesser levels of shortness of breath after exercise than non-COVID-19 patients.[21]
In healthy people this presentation can occur when the person breathes a gas which has a low oxygen content, and also a low carbon dioxide content, so there is no hypercapnic alarm response.
Presentation
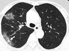
In COVID-19, the arterial and general tissue oxygen levels can drop without any initial warning. The chest x-ray may show diffuse pneumonia. Cases of silent hypoxia with COVID-19 have been reported for patients who did not experience shortness of breath or coughing until their oxygen levels had depressed to such a degree that they were at risk of acute respiratory distress (ARDS) and organ failure.[22] In a New York Times opinion piece (April 20, 2020), emergency room doctor Richard Levitan reported: "A vast majority of Covid pneumonia patients I met had remarkably low oxygen saturations at triage—seemingly incompatible with life—but they were using their cellphones as we put them on monitors."[22]
Diagnosis
A tool used to diagnose silent hypoxia is the six-minute walk test, (6MWT), wherein a patient walks at a normal pace for six minutes, in order to monitor their physiological response.[23] It has been proven that, after performing the 6MWT, COVID-19 patients were more likely to develop exercise-induced hypoxia without symptoms than non-COVID-19 patients who had idiopathic pulmonary fibrosis.[24] The condition can also be first detected by using prehospital pulse oximetry.[25][26]
Treatment
Treatment depends on the cause. In some cases supplementary oxygen is needed, in severe cases artificial ventilation may be necessary. In mild cases where the cause was hypoxic breathing gas, it may only be necessary to return to a normally oxygenated environment. Underlying medical problems may require assessment and treatment.
Prognosis
The prognosis for silent hypoxia in COVID-19 is generally poor,[27][28] as oxygen levels in the blood can drop below 50 percent without being noticed.[29] In cases where a healthy person was exposed to a hypoxic environment, the outcome will usually depend on the extent of associated tissue damage incurred. In mild cases a quick return to normal follows reversion to normally oxygenated breathing gas.
Epidemiology
Known to be associated with:
- Altitude sickness
- Atypical pneumonia
- COVID-19
- Inert gas asphyxiation
- Occupational accidents involving asphyxiant environments
- Rebreather malfunctions
- Technical diving accidents
See also
- Generalized hypoxia – Medical condition of oxygen deprivation
References
- ↑ Tobin MJ, Laghi F, Jubran A (August 2020). "Why COVID-19 Silent Hypoxemia Is Baffling to Physicians". American Journal of Respiratory and Critical Care Medicine. 202 (3): 356–360. doi:10.1164/rccm.202006-2157CP. PMC 7397783. PMID 32539537.
- ↑ LaMotte S (7 May 2020). "Silent hypoxia: Covid-19 patients who should be gasping for air but aren't". CNN.
- ↑ Pappas S (23 April 2020). "'Silent hypoxia' may be killing COVID-19 patients. But there's hope". Live Science.
- ↑ "Three reasons why COVID-19 can cause silent hypoxia". ScienceDaily. 19 November 2020.
- ↑ Emily H (3 June 2020). "Silent hypoxia and its role in COVID-19 detection". News Medical.
- ↑ Chandra A, Chakraborty U, Pal J, Karmakar P (September 2020). "Silent hypoxia: a frequently overlooked clinical entity in patients with COVID-19". BMJ Case Reports. 13 (9): e237207. doi:10.1136/bcr-2020-237207. PMC 7478026. PMID 32900744.
- ↑ Levitan R (20 April 2020). "The Infection That's Silently Killing Coronavirus Patients". The New York Times.
- ↑ Bowden O (12 May 2020). "What is 'silent hypoxia'? The coronavirus symptom patients don't know they have". Global News.
- ↑ Ottestad W (2020). "COVID-19 patients with respiratory failure: what can we learn from aviation medicine?". British Journal of Anaesthesia. 125 (3): e280–e281. doi:10.1016/j.bja.2020.04.012. PMC 7165289. PMID 32362340.
- ↑ Gillespie C. "'Silent Hypoxia' Is Making Some Coronavirus Patients Critically Ill—Here's Why It's So Dangerous". Health.
- ↑ Blanchet D, Greene S. "Your Captain Speaking: Silent Hypoxia and COVID-19". EMS World.
- ↑ "Rebreathers guide for beginners". apdiving.com. Retrieved 11 May 2021.
- ↑ Sellers, Steven H. (2016). "An Overview of Rebreathers in Scientific Diving 1998–2013". In Pollock, N.W.; Sellers, S.H.; Godfrey, J.M. (eds.). Rebreathers and Scientific Diving (PDF). Proceedings of NPS/NOAA/DAN/AAUS Workshop, 16–19 June 2015. Durham, NC. pp. 5–39. ISBN 978-0-9800423-9-9.
- ↑ Sirohiya, Prashant, et al. “Silent Hypoxia in Coronavirus Disease-2019: Is It More Dangerous?-a Retrospective Cohort Study.” Lung India, 2021, https://doi.org/10.1101/2021.08.26.21262668.
- ↑ "Silent Hypoxia Typically Not the First Symptom of COVID-19, Other Early Symptoms Should Be Monitored". American Lung Association. 15 May 2020.
- ↑ Gupta J (20 November 2020). "Three reasons why coronavirus can cause silent hypoxia". Hindustan Times.
- ↑ "COVID-19 complications: Silent hypoxia emerges as new killer in Kerala". The New Indian Express. 7 June 2020.
- ↑ "Study explains why Covid-19 can cause silent hypoxia". The Tribune. 30 November 2020.
- ↑ Srivastava A (23 May 2020). "Blood clots in the lung may be a major cause of COVID-19 deaths". The Hindu.
- ↑ Wei-Haas M (8 May 2020). "They don't struggle to breathe—but COVID-19 is starving them of oxygen". National Geographic. Archived from the original on May 8, 2020.
- ↑ Fuglebjerg NJ, Jensen TO, Hoyer N, Ryrsø CK, Lindegaard B, Harboe ZB (October 2020). "Silent hypoxia in patients with SARS CoV-2 infection before hospital discharge". International Journal of Infectious Diseases. 99: 100–101. doi:10.1016/j.ijid.2020.07.014. PMC 7836996. PMID 32663601.
- 1 2 Levitan, Richard (2020-04-20). "Opinion | The Infection That's Silently Killing Coronavirus Patients". The New York Times. ISSN 0362-4331. Retrieved 2020-04-22.
- ↑ "Six-Minute Walk Test". American Lung Association.
- ↑ Fuglebjerg NJ, Jensen TO, Hoyer N, Ryrsø CK, Lindegaard B, Harboe ZB (October 2020). "Silent hypoxia in patients with SARS CoV-2 infection before hospital discharge". International Journal of Infectious Diseases. 99: 100–101. doi:10.1016/j.ijid.2020.07.014. PMC 7836996. PMID 32663601. S2CID 220530080.
- ↑ Luks AM, Swenson ER (September 2020). "Pulse Oximetry for Monitoring Patients with COVID-19 at Home. Potential Pitfalls and Practical Guidance". Annals of the American Thoracic Society. 17 (9): 1040–1046. doi:10.1513/AnnalsATS.202005-418FR. PMC 7462317. PMID 32521167.
- ↑ Torjesen I (27 October 2020). "Covid-19: Patients to use pulse oximetry at home to spot deterioration". The BMJ: m4151. doi:10.1136/bmj.m4151. S2CID 225078120.
- ↑ Brouqui P, Amrane S, Million M, Cortaredona S, Parola P, Lagier JC, Raoult D (January 2021). "Asymptomatic hypoxia in COVID-19 is associated with poor outcome". International Journal of Infectious Diseases. 102: 233–238. doi:10.1016/j.ijid.2020.10.067. PMC 7604151. PMID 33130200.
- ↑ Lari A, Alherz M, Nouri A, Botras L, Taqi S (December 2020). "Caution against precaution: A case report on silent hypoxia in COVID-19". Annals of Medicine and Surgery. 60: 301–303. doi:10.1016/j.amsu.2020.11.007. PMC 7640922. PMID 33169089.
- ↑ Teo J (June 2020). "Early Detection of Silent Hypoxia in Covid-19 Pneumonia Using Smartphone Pulse Oximetry". Journal of Medical Systems. 44 (8): 134. doi:10.1007/s10916-020-01587-6. PMC 7305055. PMID 32562006.